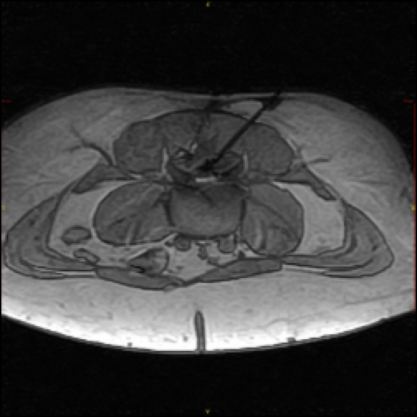
CT/MRT-gesteuerte Injektionen
Beim akuten wie auch beim chronischen Bandscheibenvorfall werden entzündungshemmende Medikamente in die unmittelbare Nähe des Bandscheibenvorfalls und des Entzündungsprozesses injiziert. Die Entzündung klingt ab und die Schwellung wird geringer.
Daher bedarf der Bandscheibenvorfall heute nur selten einer klassischen Operation, um ihn erfolgreich zu behandeln und Schmerzfreiheit zu erreichen. Im Gegenteil, da nach Operationen die Gefahr von Verwachsungen und damit verbundenen oft lang anhaltenden starken Beschwerden recht hoch ist, sollte ein operativer Eingriff nur bei Lähmungserscheinungen oder bei nicht durch konservative Therapie zu bessernde Beschwerden in Erwägung gezogen werden.
Termin online
Im Zollhafen 6, 50678 Köln, Deutschland






