Bandscheiben-Therapie
Eine Vielzahl – oft noch junger – Menschen leidet unter Rückenschmerzen, die nicht selten auf Bandscheibenvorfälle zurückzuführen sind. Dank moderner bildgebender Verfahren wie der Magnetresonanztomographie (MRT), auch Kernspintomografie genannt, lassen sich solche Vorfälle heute schnell und präzise diagnostizieren. Diese exakte Lokalisierung bildet die Grundlage für eine zielgerichtete und effektive Therapie.
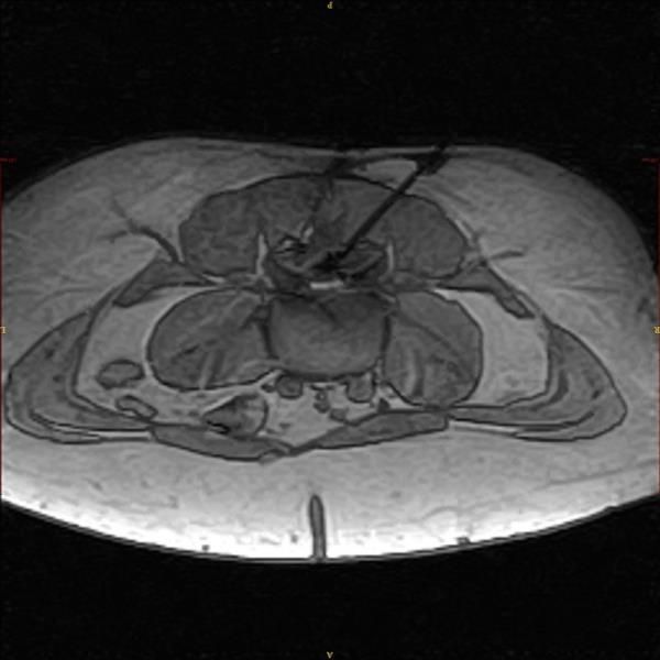
Was bewirkt die MRT-gesteuerte PDI-Therapie (Peridurale Infiltrationstherapie)?
Bei der o.g. Untersuchung werden entzündungshemmende Medikamente in die unmittelbare Nähe des Bandscheibenvorfalls und des Entzündungsprozesses injiziert. Die Entzündung klingt ab und die Schwellung wird geringer. Dadurch wird auch die Durchblutung dieses Gebietes wieder verbessert. Der Heilungsprozess beginnt, auch wenn anfangs noch eine Vorwölbung von Bandscheibengewebe besteht, hat der Patient keine Schmerzen mehr.
Wie wird die MRT-gesteuerte PDI-Therapie durchgeführt? Bei der MR-gesteuerten Schmerztherapie handelt es sich um ein besonders präzises Verfahren. So werden per kernspintomographischer Planung in Bauchlage des Patienten feine Nadeln millimetergenau an die schmerzenden Strukturen wie Wirbelgelenke oder Nervenwurzeln sowie ggf. auch an einen Bandscheibenvorfall herangeführt. Nach Kontrolle der Nadellage werden z.B. die Wirbelgelenke infiltriert oder aber eine Nervenwurzel mit betäubenden und entzündungshemmenden Medikamenten umspritzt. Selbstverständlich erfolgt vor jeglicher Therapie eine präzise Analyse des Schmerzes durch die genaue Befragung des Patienten zu seinem Schmerzbild. Anschließend werden diese Befunde mit den Ergebnissen einer kernspintomographischen Untersuchung (MRT) verglichen. Konventionelle Röntgenuntersuchungen haben hier nur eine sehr begrenzte Aussagekraft.
Klassische Zielpunkte der MRT-Therapie sind vor allem:
- Die Nervenwurzeln bei Ischiasschmerzen, die entsprechend des jeweils betroffenen Bandscheibensegmentes ins Bein ausstrahlen; Ursachen sind meist Bandscheibenvorwölbungen und Bandscheibenvorfälle oder verschleißbedingte knöcherne Verengungen des Wirbelkanals oder der Nervenwurzel-Austrittslöcher = MRT- gesteuerte periradikuläre Therapie („MRT-PRT“)
- Die Gelenke der Wirbelsäule, die auch als Gelenkfacetten bezeichnet werden und bei Überlastung durch Bandscheibenschäden oder Abnutzung eher lokale Rückenschmerzen ggf. mit Ausstrahlung in die Hüfte oder Leiste oder auch Blockierungen („Hexenschuss“) auslösen = MRT-gesteuerte Facettentherapie (Facettenarthrose)
- gelegentlich die Iliosakralgelenke als knorpelige Verbindung zwischen Kreuzbein und Beckenschaufeln; Ursache der Schmerzen sind meist ein Verschleiß, eine Bänderschwäche oder sie treten reaktiv bei Erkrankung der unteren Lendenbandscheiben auf (MRT-gesteuerte ISG-Infiltration).
Nach 2-4 Behandlungen kann mit einem Ansprechen der Therapie gerechnet werden. Bei bis zu 90% der Patienten kommt es zu einer vollständigen und auch langfristigen Beseitigung der Beschwerden.
Da diese Injektionen unter kernspintomographischer (MRT) Kontrolle durchgeführt werden, wird der Patient keinerlei schädlicher Strahlung ausgesetzt.
Seltene Nebenwirkungen der PDI
Aus unserer Erfahrung treten Nebenwirkungen und Komplikationen bei der Durchführung der PDI nur äußerst selten auf. Wie bei allen Injektionstechniken kann es in Einzelfällen zu einem kleinen Bluterguss an der Einstichstelle kommen. Wird kein Eigenblut verwendet, sind Nebenwirkungen durch die eingesetzten Medikamente grundsätzlich möglich – etwa allergische Reaktionen, zum Beispiel auf Kontrastmittel. Auch bei der Anwendung von Cortisonpräparaten können die bekannten Nebenwirkungen nicht vollständig ausgeschlossen werden.
Sollten bei Ihnen Risiken wie eine erhöhte Blutungsneigung oder frühere Thrombosen bekannt sein, ist es besonders wichtig, dass Sie uns dies vor der Behandlung mitteilen. Ernsthafte Komplikationen sind bei dieser Methode nach aktuellem Kenntnisstand jedoch nicht aufgetreten.
Termin online
Im Zollhafen 6, 50678 Köln, Deutschland






